Primary competition visual

Lacuna Malaria Detection Challenge

Helping Uganda
$5 000 USD
Completed (over 1 year ago)
Object Detection
Computer Vision
1337 joined
368 active
Starti
Aug 16, 24
Closei
Nov 17, 24
Reveali
Nov 17, 24
User avatar
Mosbeh
DATA ANNOTATION QUALITY
Data · 25 Sep 2024, 08:14 · 4

Hello,

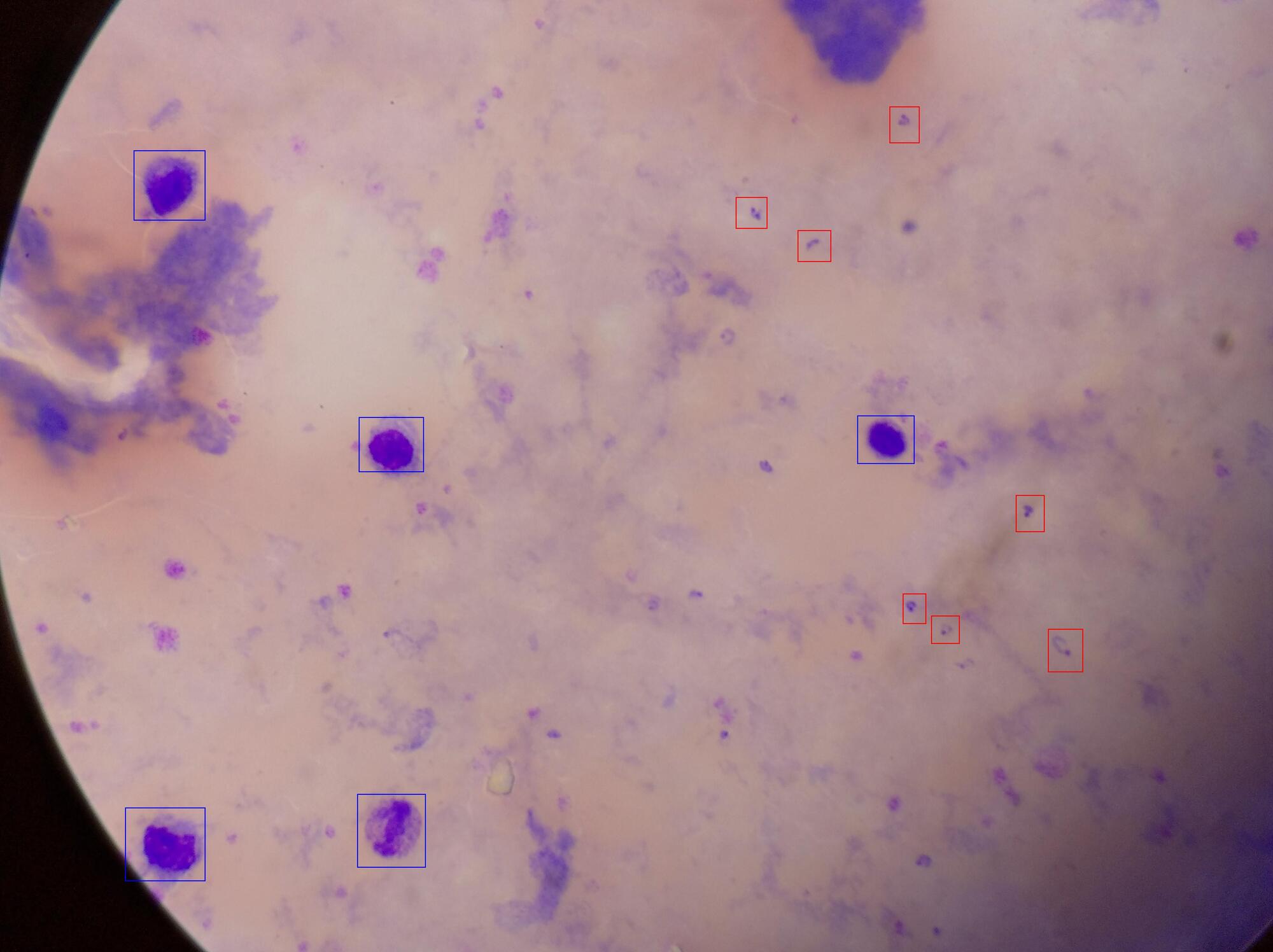
I'm concerned about the quality of the annotations in this dataset. It appears that automatic annotation tools may have been used, as the annotation quality is quite poor. The main challenge in this competition seems to be detecting Trophozoites, not because they are relatively small objects, but because they look very similar to other unlabeled (background) objects in many images.

I'm not familiar with what a Trophozoite is, but a general rule in computer vision: if it's difficult to detect objects with the human eye, it will be even more challenging for a model to do so. As you can see in the attached images, Trophozoites look very similar to non-annotated objects in the background.

My main questions are:

  1. Are you certain that no objects were missed during the annotation process?
  2. Is it possible for us to re-annotate the data to improve its quality? (Not sure if this will be helpful (: because still don't know what Trophozoite looks like)

Discussion 4 answers
User avatar
kennyman

Yea, we agree with this.

25 Sep 2024, 13:53
Upvotes 3

@Amy_Bray Would the hosts of this challenge be able to answer this question for us? I believe this is the most pressing issue.

28 Sep 2024, 09:37
Upvotes 6
User avatar
lamakye7

I have the same concern. should we reannote the dataset @Zindi ?

24 Oct 2024, 13:29
Upvotes 0
User avatar
RockingGreatness
Obafemi awolowo university

Hello @Zindi, please reply to this for confirmation.

8 Nov 2024, 02:16
Upvotes 0